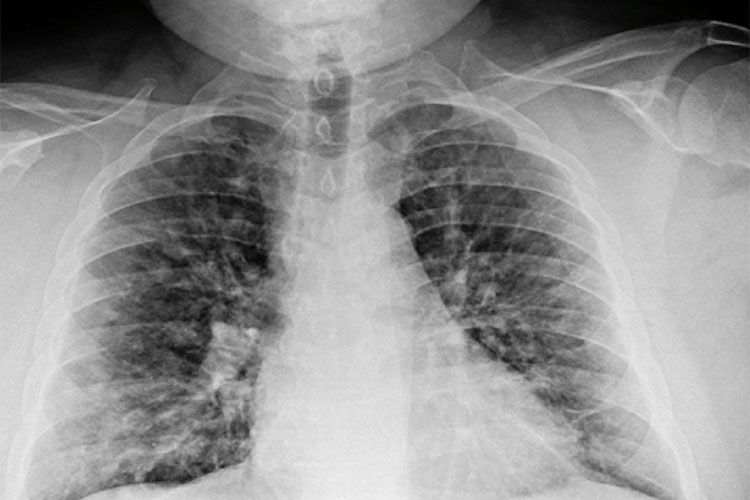
本数据集包含7278张X光胸片图像,并附带YOLO格式的标注,旨在通过YOLO模型进行肺炎及结核病的自动化检测。
项目信息
编号:Dataset-15
大小:225M
数据信息
数据集名称:肺炎及结核病X光胸片检测数据集
类别:4类 [0为健康,1为生病的,2为潜伏性结核病,3为活动性结核病 ]。
标签names:[‘healthy、sick、latent_tb、active_tb’]
数据量:7278张
标注文件为YOLO适用的txt格式或xml格式。可以直接用于模型训练。
项目介绍
本数据集包含7278张X光胸片图像,并附带YOLO格式的标注,旨在通过YOLO模型进行肺炎及结核病的自动化检测。数据集中共包括四类标签:0表示健康,1表示肺炎,2表示潜伏性结核病,3表示活动性结核病。每张图像均进行了精确标注,以支持卷积神经网络等深度学习模型的训练和测试。该数据集可用于肺部疾病检测模型的开发与评估,尤其适合针对胸片数据的深度学习研究。
项目文件

文件目录
Tipps:完整项目文件清单如下:
项目目录
– 1.Dataset (完整数据集:确保能用)
声明:本站所有项目资源都可以正常运行,亲测无错!而且我们录制了演示视频,在我们注明的环境版本下,项目运行效果完全和演示视频一致。客服QQ:下载须知


评论(0)