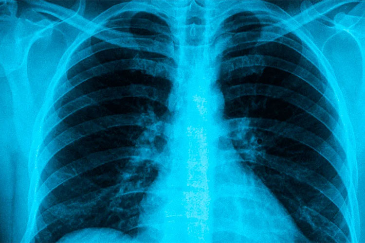
胸部X光片8子集数据集是一个高质量的精选胸部X光片集合,专为开发和评估专注于胸部疾病的物体检测模型而设计。
项目信息
编号:Dataset-8
大小:79M
数据信息
图片总数: 790
总边界框数: 984
图像格式: PNG
注释格式: YOLO 和 Pascal VOC
图像尺寸: 512×512 像素
测试集: 631 幅图像
验证集: 159 幅图像
项目介绍
胸部X光片8子集数据集是一个高质量的精选胸部X光片集合,专为开发和评估专注于胸部疾病的物体检测模型而设计。该数据集包括790张经过严格筛选的X光图像和984个详细标注的边界框,这些标注覆盖了肺部及其周围结构内的各种异常情况。数据集的标注以YOLO和Pascal VOC格式提供,方便用户在不同的机器学习框架中直接使用。所有图像均已调整为512×512像素的统一分辨率。
数据集共分为两个部分:测试集包含631幅图像,用于评估模型的性能;验证集包含159幅图像,用于模型的调整和验证。数据集中涵盖了14种不同的胸部疾病,包括但不限于肺不张、心脏扩大、积液、浸润、结核、大量的、肺炎和气胸。这些详细的分类标签有助于模型的精确训练和测试。
项目文件

文件目录
Tipps:完整项目文件清单如下:
项目目录
– 1.Dataset (完整数据集:确保能用)
声明:本站所有项目资源都可以正常运行,亲测无错!而且我们录制了演示视频,在我们注明的环境版本下,项目运行效果完全和演示视频一致。客服QQ:下载须知


评论(0)